O epitélio escamoso contém glucagon e recobre a parte vaginal do colo (orifício vaginal, ectocérvice), é sensível aos estímulos hormonais, se renova aproximadamente a cada cinco dias por ação de estrógenos através do processo de descamação das células superficiais e tem sua maturação inibida pela ação da progesterona.
Este epitélio esta localizado a cima de uma membrana basal que é renovado continuamente por processos de proliferação, maturação e descamação.
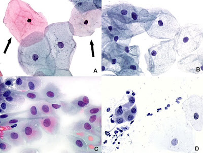
Observando o epitélio cervical, podemos notar a presença de três camadas distintas.
O epitélio escamoso estratificando não querati
A camada basal é formada por uma única camada de células arrendondadas com grandes núcleos de coloração escura e citoplasma escasso. As células basais dividem-se e maturam para formar as células profundas que também têm núcleos relativamente grandes de coloração escura, citoplasma pequeno, arredondado, denso, cianofílico (violeta, esverdeado ou acinzentado) e geralmente não apresenta dobras. A esta segue uma camada intermediaria, que seria o estrato mais espesso. Seu citoplasma aumenta em relação ao núcleo à medida que se aproxima da superfície. Sua espessura é diretamente relacionada às condições hormonais, com frequência apresenta dobras e estas células podem estar agrupadas. Há ainda um tipo especial de célul
as intermediarias, conhecidas como células naviculares. Estas células apresentam borda em dobra e depósitos de glicogênio. Elas resultam da influência prolongada da progesterona, como durante a gravidez, por exemplo. A camada superficial é constituída por células aplanadas, grandes, poligonais de tamanho variado, de citoplasma denso e amplo e núcleo picnótico. Sua coloração também varia de acordo com seu grau de maturação apresentando cor eosinofílica (rosada / alaranjada) ou cianofilica.O processo de maturação do epitélio escamoso do colo uterino depende de estrógeno. Se há falta de estrógeno não há maturação completa. Portanto, após a menopausa as células maturam somente até a camada profunda e o epitélio torna-se atrófico.


As células da endocérvice são basicamente células cilíndricas ou colunares, ciliadas ou não ciliadas ou secretoras. As células colunares podem ser observadas agrupadas ou isoladas, geralmente agrupadas em 'favos de mel' ou 'em paliçadas'. É composto por uma camada única de células altas com núcleo de coloração escura próxima à membrana basal.

















